In würde altern 😁
DeveRoSt
deverost@voptop.com
npub1lqut...efxw
Informatiker, DevOp, Entrepreneur, mittel begabter Rennfahrer und Bitcoiner.
Gefällt mir & Teilen ist keine Zustimmung.
🚗🐴🐎👩🏻👶🏻👨🏻🦰🦇🐑🐱 🏍️ 🏍️🏍️🏍️🚐 🏰
Me: https://robertstiehler.me
Fiat: https://sn-media.com
Project: https://voptop.com
Company: https://eichenschild-gmbh.de
Snapcraft: https://snapcraft.io/voptop
Exakt Heute gab es bei uns in der #Rhön den ersten Schneegraupel... Wärmeblase... Hmmmhmm.... View quoted note →
Gibt es eigentlich Statistiken über die Verbreitung der Bitcoin Core Version auf den existierenden Fillnodes?
Update auf Bitcoin Core 30, ja oder nein? Was sagt ihr?
Die traurige Realität ist, dass nicht muslimisches Leben nur so im Umfeld muslimischen Lebens mögliche ist. View quoted note →
Kann keiner mehr behaupten ich hätte eine Schraube locker, sind alle mit ausreichend Drehmoment angezogen!


Zugegeben sieht noch nicht gänzlich gesund aus, aber auftreten geht wieder. Bis ich wieder normal laufen kann wird noch dauern, aber es ist Licht am Ende des Tunnel.
View quoted note →
View quoted note →Wie ist das eigentlich bei Bitcoin die man selbst ge-mined hat, gilt da auch die Haltefrist von 12 Monaten und ist der Erlös damit Steuerfrei? View quoted note →
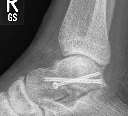
Wir haben einen sehr guten Heilungsverlauf! Der Talus (Sprungbein) ist vollständig zusammen gewachsen es ist nicht mal mehr eine Bruchkante auf den Röntgenbildern zu sehen. Ich darf den Fuß wieder belasten 🎉 View quoted note →
Auf ins Krankenhaus und raus finden wie es weiter geht.


Wie sich mittlerweile herausstellte, ist das ganze auf direkten bestreben des Staates geschehen. Also kein verwirrter Anzeigeerstatter und/oder übereifriger Staatsanwalt. "Hessen gegen Hetze" ist laut eigenem Impressum zugehörig zu "Hessisches Ministerium des Innern, für Sicherheit und Heimatschutz". Die amtierende Junta geht aktiv gegen kritische Journalisten vor und lässt denen die Wohnungen durch die Polizei stürmen!
https://apollo-news.net/staatliche-meldestelle-hessen-gegen-hetze-steckt-hinter-hausdurchsuchung-gegen-norbert-bolz/
1) 

Meldestelle HessenGegenHetze
Impressum
Alle Angaben zur inhaltlichen Verantwortung dieses Internetauftritts finden Sie hier.
Wären wir noch ein Rechtsstaat, dann wären die verantwortlichen Staatsfeinde. Sind sie aber nicht.
https://apollo-news.net/hausdurchsuchung-bei-norbert-bolz-wer-so-etwas-verantwortet-ist-ein-verbrecher/

Das hier zeigt überdeutlich, warum der Paragraph zur Volksverhetzung ersatzlos gestrichen gehört. Früher haben wir gesagt, weil es den falschen in die Hände fallen könnte. Ich denke darüber sind wir hinaus. Die Diktatur die wir fürchteten ist längst real.


NiUS.de
Anschlag auf die Meinungsfreiheit: Hausdurchsuchung bei WELT-Kommentator Norbert Bolz wegen dieses Tweets | NIUS.de
In den Morgenstunden stand die Polizei bei ihm vor der Tür. Sein Vergehen: ein harmloser Tweet.
Und wieder einer aus der Kategorie #linkeSindWiderwärtig
https://apollo-news.net/es-geht-um-volksverhetzung-staatsanwaltschaft-berlin-prueft-wegen-stadtbild-aussage-anzeige-gegen-merz/
Upload durch #YakiHonne zu privaten Blossom Server (white list) funktioniert. Proof-Of-Upload mein Zerstörter Shoi X-Spirit 3 vom Crash am Nürnburgring 😁


Ich fürchte bis so etwas nach Deutschland kommt wird noch viel Wasser den Bach runter fließen. View quoted note →
Das unglaubliche an der Sache ist das die linksextreme, dem Antifa-Terrornetzwerk nahestehende, Amadeu-Antonio-Stiftung immer noch Steuergelder erhält.
#AFUERA!
https://apollo-news.net/die-amadeu-antonio-stiftung-steht-massiv-unter-druck-ex-verfassungsrichterin-soll-staatliche-finanzierung-retten/